
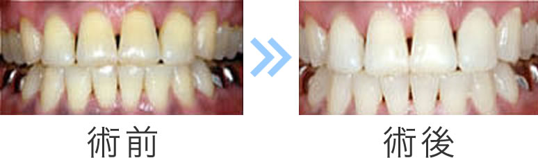
ホワイトニングとは、歯を削ったり、プラスチックやセラミックといったつめ物やかぶせ物で歯を白く見せるのではなく、ご自身の歯自体を白くする治療法です。
当院では、患者様のご要望・ご希望に応じて「ホーム・ホワイトニング」と「オフィス・ホワイトニング」の2つの方法をご用意しております。
当院にて個々の歯の形のあったトレーを作成します。あとはトレーにホワイトニング剤を盛って1日2時間程度、歯に装着します。通常1~2週間で効果が出ます。
※ホームホワイトニングは必ず医師の指導の下に行ってください。
※ホワイトニングの効果には個人差があります。
ペースト状のプロテクター、またはラテックス製シートで口腔粘膜や唇を保護します。ホワイトニング剤を対象となる歯に塗布した後、光を照射します。歯科治療と同じように、診療用チェアユニットに座って行います。20~30分で1クールの治療が完了します。結婚式前など短い期間で歯を白くしたい時におすすめです。
※短時間で効果が出ますが、元の状態に戻りやすい欠点があります。
※高濃度の薬剤を使用するため、一部の天然歯だけが対象となります。
※歯の表層のみが白濁して不自然に見える場合があります。